Traitement du nerf, infections profondes et soins conservateurs pour préserver votre dent plutôt que l’extraire
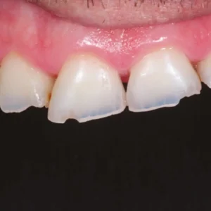
Quand une dent fait mal ou s’infecte profondément, le traitement endodontique permet d’éliminer la douleur et de préserver la dent.
Au Centre Dentaire Kandil, nous réalisons ces traitements avec précision et douceur, pour que votre séance se déroule dans le calme et sans douleur.
Le traitement élimine l’infection et arrête la douleur.
La dent est conservée, renforcée et peut retrouver sa fonction normale.
Techniques modernes pour nettoyer et sceller les canaux en profondeur.

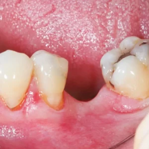
La douleur vient d’une infection qui atteint la pulpe, enfermée dans un espace rigide au cœur de la dent.
En s’enflammant, elle gonfle… mais ne peut pas s’étendre.
La pression monte, écrase les nerfs et crée une douleur intense.
Le traitement canalaire permet de retirer l’infection, nettoyer l’intérieur de la dent et stopper cette pression.
La douleur disparaît et votre dent est sauvée.
Extraire une dent semble parfois être la solution la plus simple.
Mais en réalité, ce “vide” déclenche une série de changements dans la bouche : l’os fond, les dents se déplacent, l’occlusion se déséquilibre… et de nouveaux problèmes apparaissent.
Le traitement canalaire, lui, élimine l’infection et vous permet de garder votre dent sans déclencher cette réaction en chaîne.


Le traitement canalaire suit des étapes précises, réalisées dans le calme et sans douleur.
On identifie la source de votre douleur grâce à un examen clinique et radiologique.
La dent est complètement endormie et isolée pour un traitement confortable et propre.
On élimine l’infection et la pulpe enflammée à l’aide d’instruments très fins.
Les canaux sont désinfectés puis scellés hermétiquement pour empêcher les bactéries de revenir.
La dent est renforcée (inlay-core/pivot/couronne) pour retrouver sa solidité et éviter une fracture.
Si quelque chose n’est pas clair ou si vous souhaitez un avis avant de vous lancer, n’hésitez pas à nous contacter. Nous sommes là pour vous guider et répondre à toutes vos questions.
Non. Grâce à l’anesthésie locale, la séance est indolore. Vous ressentez une pression, jamais de douleur.
L’infection fait gonfler la pulpe à l’intérieur d’un espace très rigide. La pression augmente et écrase les nerfs, ce qui provoque une douleur intense. Le traitement canalaire supprime cette pression.
En général entre 30 et 45 minutes selon la dent et la complexité.
Souvent, oui. Une dent dévitalisée devient plus fragile, et une couronne permet de la renforcer durablement.
L’infection peut s’aggraver, former un abcès, gonfler la joue et même atteindre l’os. La dent pourrait être perdue.

Appelez-nous :
05 23 30 59 59
Pour toute question ou prise de rendez-vous, notre équipe est disponible pour vous répondre.
05 23 30 59 59
315, Derb Riad 2, Boulevard Palestine, 1er étage, Mohammedia
centrekandil@gmail.com
Quel que soit votre besoin dentaire, nous vous guidons vers la solution la plus sûre et la plus confortable.