Facettes, composites, blanchiment et design du sourire
Aujourd’hui, l’esthétique dentaire à Mohammedia ne se résume plus à avoir “les dents blanches”.
Au Centre Dentaire Kandil, nous considérons l’esthétique dentaire comme une discipline de haute précision, où art, biologie et technologies de pointe s’unissent pour révéler un sourire équilibré, naturel, et parfaitement adapté à votre visage.

Au Centre Dentaire Kandil, chaque patient bénéficie d’un diagnostic esthétique complet.
Pour affiner ce diagnostic, nous utilisons une technologie de pointe : le Digital Smile Design (DSD).
Grâce à vos photos et aux empreintes numériques 3D réalisées au cabinet, nous pouvons simuler votre futur sourire directement à l’écran, avant même de commencer les soins.
Vous visualisez le résultat, vous ajustez avec nous, et chaque étape est planifiée avec précision.

Obtenir un sourire naturel et durable demande parfois l’intervention de plusieurs spécialités : orthodontie, parodontologie, prothèse, voire implantologie.
C’est pourquoi nos différents spécialistes travaillent ensemble pour donner vie à votre nouveau sourire.
Au Centre Dentaire Kandil, notre objectif est de préserver au maximum les structures biologiques et de nous inspirer de la dent naturelle.
C’est exactement ce que l’on appelle le biomimétisme mini-invasif : soigner sans sur-traiter, en respectant ce que la nature a déjà bien construit.

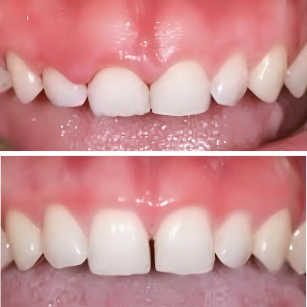
Selon votre cas, différentes solutions esthétiques peuvent être envisagée

ultra-fines coquilles en céramique collées sur les dents pour corriger la teinte, la forme ou de légers défauts d’alignement en un temps record.

aligneurs transparents ou appareils céramiques discrets pour réaligner les dents sans compromis esthétique.

un éclaircissement professionnel de l’émail pour retrouver des dents plus blanches, en toute sécurité.

Remodelage des gencives pour corriger un « sourire gingival » et harmoniser la ligne du sourire.
Un beau sourire ne se fabrique pas. Il se comprend, se respecte, puis se révèle..
Un traitement esthétique réussi repose sur la synergie entre l’expertise du praticien et la technologie. Au Centre Dentaire Kandil à Mohammedia, nous appliquent des protocoles de dentisterie numérique de niveau mondial.
Formés au Maroc, à la New York University et en Corée du Sud, nos experts maîtrisent les techniques les plus avancées :
Scanners intra-oraux pour des empreintes 3D sans inconfort.
Lasers dentaires pour une chirurgie gingivale de haute précision.
Matériaux Premium : Nous utilisons exclusivement de la zircone et de la céramique pressée pour nos facettes dentaires, garantissant un éclat naturel durable.

Offrez à votre sourire l’attention qu’il mérite. Réservez votre consultation au Centre Dentaire Kandil à Mohammedia.
Réserver un rendez-vousSi quelque chose n’est pas clair ou si vous souhaitez un avis avant de vous lancer, n’hésitez pas à nous contacter. Nous sommes là pour vous guider et répondre à toutes vos questions.
Non. Les facettes sont posées de manière minimale, en préservant au maximum l’émail naturel.
En moyenne 5 à 15 ans, selon votre hygiène, vos habitudes et vos contrôles réguliers.
Non. Le traitement est adapté à votre sensibilité et réalisé en toute sécurité.
Oui. Grâce au smile design digital, vous visualisez une simulation de votre futur sourire.
Généralement entre 12 et 18 mois, selon vos habitudes alimentaires et d’hygiène.

Appelez-nous :
05 23 30 59 59
Pour toute question ou prise de rendez-vous, notre équipe est disponible pour vous répondre.
05 23 30 59 59
315, Derb Riad 2, Boulevard Palestine, 1er étage, Mohammedia
centrekandil@gmail.com
Quel que soit votre besoin dentaire, nous vous guidons vers la solution la plus sûre et la plus confortable.