Au Centre Dentaire Kandil à Mohammedia, le détartrage est réalisé aux ultrasons en 30 à 45 minutes, et la feuille de soins CNSS vous est remise à la sortie.

| Type de detartrage | Tarif Kandil (MAD) | Duree | Inclus |
|---|---|---|---|
| Simple (ultrasons) | 400 a 500 | 30 a 40 min | Examen, ultrasons, feuille CNSS |
| Complet (polissage + fluor) | 500 a 700 | 45 a 60 min | Tout le simple + polissage + fluoration |
| Sous-gingival (parodontal) | 700 a 1 000 | 1 a 3 seances | Detartrage + surfacage + anesthesie si besoin |
| Maintenance semestrielle | 350 a 450 | 25 a 30 min | Controle + detartrage leger + conseils |
| Prendre rendez-vous 05 23 30 59 59 | |||
Avis Patients
Publié sur Hiba FakhreddineTrustindex vérifie que la source originale de l'avis est Google. Très bon centre dentaire avec une équipe vraiment à l’écoute et bienveillante. On se sent rassuré dès l’arrivée, et le service est top du début à la fin. Je recommande sans hésiter !Publié sur Hind SlimaniTrustindex vérifie que la source originale de l'avis est Google. Je tiens à exprimer mes sincères remerciements au docteur Sami Kandil ainsi qu’au docteur Akram au docteur Salah et à la docteure Ghita sans oublier toutes les assistantes pour leur gentillesse leur professionnalisme et la qualité de leur accueil Ce fut une excellente experience je continuerai à venir chez eux et je les recommande vivementPublié sur Hafsa AboubakrTrustindex vérifie que la source originale de l'avis est Google. Je recommande vivement le cabinet Kandil. Le service est très efficace et toute l’équipe fait preuve d’un grand professionnalisme. Ils sont particulièrement doux, attentionnés et toujours souriants, ce qui met tout de suite en confiance. Une expérience très agréable ☺️Publié sur Najoua KhdadTrustindex vérifie que la source originale de l'avis est Google. Je tiens à remercier toute l’équipe de la clinique pour leur excellent service Les dentistes sont très professionnels attentionnés et rassurants J’ai particulièrement apprécié la qualité des soins ainsi que le niveau d’hygiène irréprochable de la clinique Merci beaucoup pour votre sérieux et votre gentillessePublié sur Simo abidiTrustindex vérifie que la source originale de l'avis est Google. Je tiens à remercier le Dr Sami et le Dr salah pour leur excellent travail et leur grand bienveillence . Un merci spécial à Hayat l'assistante pour sa gentillesse et son sourire . Léquipe est vraiment professionelle .Publié sur Alixi AlixiTrustindex vérifie que la source originale de l'avis est Google. My experience with the clinic was excellent The staff were very professional and treated patients with great care from start to finish I had dental work done there and felt very comfortable throughout and I’m really happy with the results Everything was handled smoothly and with high professionalism.I sincerely thank them for their efforts and highly recommend this clinic to anyone looking for dental treatment❤️Publié sur Hajar KikoTrustindex vérifie que la source originale de l'avis est Google. Je tiens à remercier sincèrement le médecin pour son professionnalisme et sa gentillesse. Merci également à toute l’équipe médicale et aux assistantes pour leur accueil et leur bienveillance Un grand merci à la clinique pour la qualité de ses services. Je suis très reconnaissantPublié sur Olaya EddaiyfTrustindex vérifie que la source originale de l'avis est Google. Je suis très satisfaite de mon passage dans ce centre dentaire. L’équipe est accueillante, professionnelle et attentive aux besoins des patients. Les soins sont réalisés avec beaucoup de précision et d’hygiène. Je me suis sentie en confiance du début à la fin. Merci beaucoup !Publié sur Mohamed ManafTrustindex vérifie que la source originale de l'avis est Google. Bonjour soins et suivi professionnels mes remerciements aux médecins et leurs assistantes bonne continuationPublié sur Aya AyaTrustindex vérifie que la source originale de l'avis est Google. Je recommande vivement le Centre Dentaire Kandil. L’accueil est chaleureux et professionnel, le personnel est très attentionné et rassurant. Le Dr Sami ainsi que tous les médecins du centre sont excellents, compétents et très professionnels. Le traitement est vraiment de haute qualité. Même les assistantes sont gentilles, serviables et toujours à l’écoute. Je me suis sentie en confiance du début à la fin. Merci pour votre excellent travail
| Regime | Taux | Base TNR | Montant rembourse | Reste a charge* |
|---|---|---|---|---|
| CNSS (AMO salariat prive) | 70 % | 210 MAD | 147 MAD | 253 a 853 MAD |
| CNOPS (fonctionnaires) | 80 % | 210 MAD | 168 MAD | 232 a 832 MAD |
| AMO TADAMON (RAMED) | Variable | 210 MAD | selon contrat | verifier CNSS |
| Mutuelle privee (AXA, Saham...) | jusqu a 100 % | tarif reel | jusqu a 700 MAD | 0 a 300 MAD |
| Feuille de soins CNSS delivree sur place, code D708. Prendre rendez-vous | ||||
*Reste a charge calcule sur la fourchette 400 a 1 000 MAD des tarifs Kandil.
Aucune démarche n’est à faire au cabinet. La feuille de soins est délivrée systématiquement, sans demande de votre part
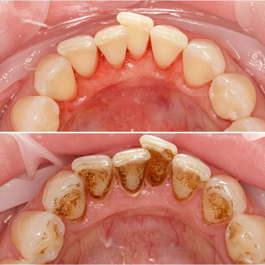
C’est la technique standard, utilisée dans 90 % des cas. Un insert piézoélectrique vibre à très haute fréquence et décolle le tartre par micro-percussion. L’eau d’irrigation refroidit la dent et évacue les fragments en continu. La sensation dominante est une vibration acoustique dans la dent, pas une douleur.
Le détartrage retire le tartre et les taches posées sur l’émail. Le blanchiment éclaircit la teinte de la dent elle-même. Ce sont deux actes distincts qui ne traitent pas le même problème.
| Critere | Detartrage | Blanchiment |
|---|---|---|
| Objectif | Retirer tartre et taches posees | Eclaircir la dent elle-meme |
| Nature de l'acte | Soin conservateur | Acte esthetique |
| Rembourse CNSS | Oui, code D708 | Non |
| Prix (Kandil) | 400 a 1 000 MAD | 2 000 a 4 500 MAD |
| Duree | 30 a 45 min | 1 seance ou 10 a 15 nuits |
| Resultat | Teinte naturelle retrouvee | Teinte plus claire que la naturelle |
| Frequence | Tous les 6 mois | 1 fois par an (retouche) |
| Ordre | Toujours en premier | Apres le detartrage |
| Rendez-vous detartrage Voir blanchiment | ||
Après la séance, une légère sensibilité au froid peut durer 24 à 48 heures. Au-delà d’une semaine, le rendez-vous de contrôle est offert.
Un adulte en bonne santé bucco-dentaire fait un détartrage tous les 6 mois. C’est la fréquence recommandée par l’Ordre National des Médecins Dentistes du Maroc et par l’OMS.
| Profil | Frequence | Raison |
|---|---|---|
| Adulte gencives saines | 6 mois | Cycle de reformation du tartre |
| Fumeur, chicha | 3 a 4 mois | Tartre et pigmentation accelere |
| Diabetique | 3 a 4 mois | Risque parodontal accru |
| Antecedent parodontite | 3 mois | Phase de maintenance parodontale |
| Orthodontie fixe (bagues) | 3 a 4 mois | Plaque piegee par les attaches |
| Grossesse | 2e trimestre | Gingivite gravidique frequente |
| Hygiene stricte | 9 a 12 mois | Sur avis du praticien |
| Programmez votre prochain detartrage au Centre Kandil. Prendre rendez-vous | ||
Avis Patients
Publié sur Hiba FakhreddineTrustindex vérifie que la source originale de l'avis est Google. Très bon centre dentaire avec une équipe vraiment à l’écoute et bienveillante. On se sent rassuré dès l’arrivée, et le service est top du début à la fin. Je recommande sans hésiter !Publié sur Hind SlimaniTrustindex vérifie que la source originale de l'avis est Google. Je tiens à exprimer mes sincères remerciements au docteur Sami Kandil ainsi qu’au docteur Akram au docteur Salah et à la docteure Ghita sans oublier toutes les assistantes pour leur gentillesse leur professionnalisme et la qualité de leur accueil Ce fut une excellente experience je continuerai à venir chez eux et je les recommande vivementPublié sur Hafsa AboubakrTrustindex vérifie que la source originale de l'avis est Google. Je recommande vivement le cabinet Kandil. Le service est très efficace et toute l’équipe fait preuve d’un grand professionnalisme. Ils sont particulièrement doux, attentionnés et toujours souriants, ce qui met tout de suite en confiance. Une expérience très agréable ☺️Publié sur Najoua KhdadTrustindex vérifie que la source originale de l'avis est Google. Je tiens à remercier toute l’équipe de la clinique pour leur excellent service Les dentistes sont très professionnels attentionnés et rassurants J’ai particulièrement apprécié la qualité des soins ainsi que le niveau d’hygiène irréprochable de la clinique Merci beaucoup pour votre sérieux et votre gentillessePublié sur Simo abidiTrustindex vérifie que la source originale de l'avis est Google. Je tiens à remercier le Dr Sami et le Dr salah pour leur excellent travail et leur grand bienveillence . Un merci spécial à Hayat l'assistante pour sa gentillesse et son sourire . Léquipe est vraiment professionelle .Publié sur Alixi AlixiTrustindex vérifie que la source originale de l'avis est Google. My experience with the clinic was excellent The staff were very professional and treated patients with great care from start to finish I had dental work done there and felt very comfortable throughout and I’m really happy with the results Everything was handled smoothly and with high professionalism.I sincerely thank them for their efforts and highly recommend this clinic to anyone looking for dental treatment❤️Publié sur Hajar KikoTrustindex vérifie que la source originale de l'avis est Google. Je tiens à remercier sincèrement le médecin pour son professionnalisme et sa gentillesse. Merci également à toute l’équipe médicale et aux assistantes pour leur accueil et leur bienveillance Un grand merci à la clinique pour la qualité de ses services. Je suis très reconnaissantPublié sur Olaya EddaiyfTrustindex vérifie que la source originale de l'avis est Google. Je suis très satisfaite de mon passage dans ce centre dentaire. L’équipe est accueillante, professionnelle et attentive aux besoins des patients. Les soins sont réalisés avec beaucoup de précision et d’hygiène. Je me suis sentie en confiance du début à la fin. Merci beaucoup !Publié sur Mohamed ManafTrustindex vérifie que la source originale de l'avis est Google. Bonjour soins et suivi professionnels mes remerciements aux médecins et leurs assistantes bonne continuationPublié sur Aya AyaTrustindex vérifie que la source originale de l'avis est Google. Je recommande vivement le Centre Dentaire Kandil. L’accueil est chaleureux et professionnel, le personnel est très attentionné et rassurant. Le Dr Sami ainsi que tous les médecins du centre sont excellents, compétents et très professionnels. Le traitement est vraiment de haute qualité. Même les assistantes sont gentilles, serviables et toujours à l’écoute. Je me suis sentie en confiance du début à la fin. Merci pour votre excellent travail
Étape 1 : La consultation
Étape 2 : Détartrage supra-gingival aux ultrasons
Étape 3 : Détartrage sous-gingival si nécessaire
Étape 4 : Polissage et fluoration
Étape 5 : Conseils et feuille de soins CNSS

Une question ? On est là pour vous aider.
Validé par Dr Sami kandil – Centre Dentaire Kandil
Chirurgie dentaire & dentisterie esthétique
Mohammedia, Maroc
www.centredentairekandil.com
Contenu à visée informative. Les informations présentées sur cette page ne remplacent en aucun cas une consultation, un diagnostic ou un traitement réalisé par un chirurgien-dentiste.
Dernière révision médicale : 27/04/2026
Prendre un rendez-vous
Notre équipe est disponible pour vous répondre.