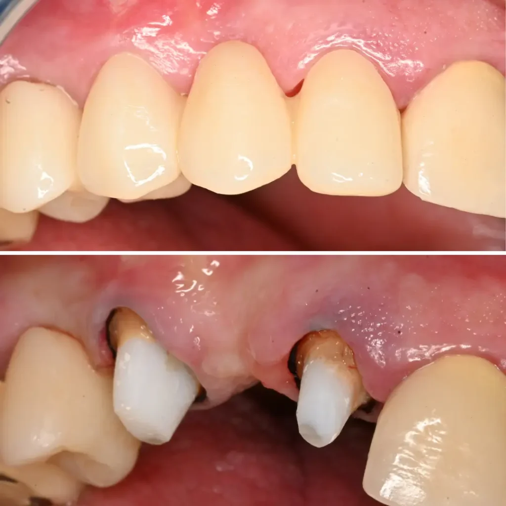
Le Bridge CCM (Céramo-métallique)
Solide et plus économique, le bridge CCM repose sur une armature métallique recouverte de céramique.Il offre une bonne résistance, surtout pour les dents du fond. Avec le temps, une légère rétraction de la gencive peut révéler un fin liseré gris au niveau du collet.



